Tomografía de coherencia óptica de segmento anterior OCT-AS
SPECTRALIS OCT
¿Qué es?
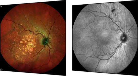
El Spectralis OCT es un equipo de diagnóstico oftalmológico de alta precisión desarrollado por Heidelberg Engineering que utiliza tomografía de coherencia óptica (OCT) para obtener imágenes muy detalladas de las distintas capas de la retina y del nervio óptico.
Esta tecnología permite a los especialistas observar estructuras del ojo con resolución micrométrica, algo fundamental para detectar y controlar muchas enfermedades oculares.
¿Cómo se realiza?
La prueba es rápida, indolora y no invasiva. El procedimiento suele seguir estos pasos:
Colocación del paciente
El paciente apoya la barbilla y la frente en el equipo para mantener la cabeza estable.
Enfoque del ojo
El especialista o técnico pide al paciente que mire a un punto de luz dentro del aparato.
Captura de imágenes
El dispositivo emite un haz de luz que escanea la retina y genera imágenes en cortes transversales de las estructuras oculares.
Análisis de resultados
Las imágenes obtenidas permiten estudiar con gran detalle la retina, la mácula y el nervio óptico.
La exploración suele durar solo unos minutos y en muchos casos no requiere dilatar la pupila, aunque depende del estudio que se vaya a realizar
